Cuidando do seu sorriso com responsabilidade
Sorrir é transformar vidas. Tratamentos odontológicos com cuidado e excelência
Agende Sua Consulta para um Sorriso Perfeito
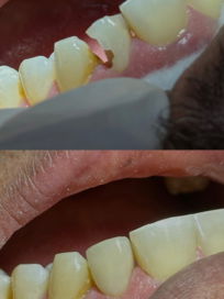
(tratamento de canal)
Apaixonada por transformar sorrisos e devolver a autoestima aos pacientes, a Dra. Vitória é formada em Odontologia e atua como clínica geral com foco em prevenção, estética e bem-estar.
Em seu consultório, o atendimento é acolhedor e personalizado. Cada paciente é tratado de forma única, com empatia, tecnologia de ponta e técnicas modernas para garantir resultados seguros e duradouros.
A missão da Dra. Vitória é simples: unir cuidado, conhecimento e atenção aos detalhes para que você sorria com confiança todos os dias.

serviços

Tratamento sem dor para salvar seu dente
O tratamento de canal é indicado quando o dente está com inflamação ou infecção na raiz.
Com anestesia local e técnicas modernas, o procedimento é rápido e indolor. Ele remove a infecção, preserva o dente e evita extrações desnecessárias.
Assim, você mantém seu sorriso saudável e evita problemas maiores no futuro.

Recupere a função e a estética do seu sorriso
A prótese dentária é indicada para substituir dentes perdidos ou danificados.
Pode ser fixa ou removível e devolve a mastigação, a fala e a harmonia do sorriso, com aparência natural e confortável.
Resultado: mais qualidade de vida e confiança ao sorrir.
Facetas Dentárias
Sorriso perfeito e harmônico
As facetas são lâminas ultrafinas aplicadas sobre os dentes para corrigir formato, cor ou pequenas imperfeições.
É um dos procedimentos mais procurados para transformar o sorriso de forma rápida, natural e duradoura.
Ideal para quem quer um sorriso digno de foto!

A coroa devolve a aparência natural do dente.
A coroa permite mastigar normalmente, sem medo de o dente quebrar ainda mais ou sentir dor. O paciente volta a comer tranquilo. Se o dente já passou por canal ou está muito destruído, a coroa funciona como uma “capa” que envolve e protege, evitando novas fraturas e aumentando a durabilidade do dente. Diferente da prótese móvel (que tira e coloca), a coroa fixa fica colada no dente. O paciente não sente ela soltando, não machuca, não precisa ficar retirando para limpar.
Bem cuidada, a coroa fixa pode durar muitos anos, funcionando como um investimento a longo prazo para preservar o sorriso.

Sorriso mais branco e radiante
O clareamento dental remove manchas e deixa os dentes mais claros, devolvendo o brilho natural do seu sorriso.
É um procedimento seguro, feito com produtos de qualidade e acompanhamento profissional para garantir resultados duradouros e sem sensibilidade excessiva.
Ideal para quem quer melhorar a estética do sorriso de forma rápida e eficaz.

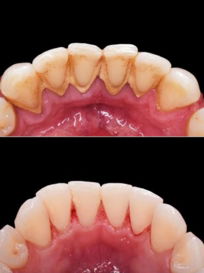
A limpeza profissional remove a placa bacteriana e o tártaro que a escovação e o fio dental não conseguem tirar.
Ela ajuda a prevenir cáries, mau hálito e problemas de gengiva, deixando seus dentes mais limpos, lisos e saudáveis.
O ideal é fazer a cada 6 meses para manter a boca sempre saudável.
Agende sua consulta
Descubra cuidados odontológicos especializados com a Dra. Vitória Menezes - Agende sua consulta e conquiste um sorriso saudável e radiante
“A mão dela é super leve, nem senti dor! Fiquei impressionada com o cuidado e a atenção aos detalhes.”
“Nunca gostei de ir ao dentista, mas a Dra. Vitória mudou minha visão. Ela é super calma, explica tudo e me deixou muito tranquila durante o atendimento.”
“Fiz limpeza e clareamento e amei o resultado! Além de ótima profissional, ela é muito simpática e atenciosa.”
“Saí do consultório com o sorriso renovado. Ela passa muita confiança e faz tudo com muita calma. Recomendo de olhos fechados.”
*LOCALIZAÇÃO*
ENTRE EM CONTATO
Descubra sorrisos saudáveis e brilhantes com a Dra. Vitória Menezes - Especialista em Endodontia, Clareamento e mais! Agende sua consulta agora